О проекте
АРХИВ
2016
2015
2014
ПОДПИСКА
КОНТАКТЫ
+7 (499) 245-54-74
info@dentaltimes.ru
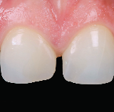
Клинический случай устранения диастемы центральных резцов верхней челюсти. Рафаэль Каликсто, Бразилия
Клинический случай устранения диастемы центральных резцов верхней челюсти
Борьба с контрафактом
Борьба с контрафактом: как правообладатели защищают качество медицинских стоматологических изделий на российском рынке
Полная пульпотомия при лечении постоянных зубов. Сюань Вин Тран и Лан Тхи Куин Нго. Вьетнам, Чилало Букпесси, Франция
Полная пульпотомия при лечении постоянных зубов с необратимым пульпитом и апикальным периодонтитом
Отбеливание зубов подростка. Проф. Хосе Карлос Гарофало, Бразилия
Отбеливание зубов подростка с использованием методики предварительно наполненных капп Opalescence Go
ТОП 8 стоматологических томографов
ТОП 8 стоматологических томографов: сравнительные характеристики
Прямая композитная реставрация. Хосе Карлос Гарофало и соавт., Бразилия
Протокол восстановления жевательных зубов новым наногибридным композитом FORMA
Почему дорожают стоматологические услуги
Почему дорожают стоматологические услуги
Четырехмерное обратное планирование временного мостовидного протеза с опорой на имплантаты. Франк Шпигельберг (Германия)
Четырехмерное обратное планирование временного мостовидного протеза с опорой на имплантаты с цифровым изготовлением десневой маски
Полное несъемное протезирование на безметалловом каркасе. Джон Морган (США)
Клинический случай установки полных несъемных протезов на безметалловом каркасе в области верхней и нижней челюсти
Пульпотомия передних и жевательных молочных зубов. Джарод В. Джонсон (США)
Клиническое применение Biodentine при пульпотомии передних и жевательных молочных зубов
Успешное повторное эндодонтическое лечение по методике одного штифта. Андре Луис да Коста Микелотто (Бразилия)
Успешное повторное эндодонтическое лечение с использованием биокерамического материала BioRoot™ RCS по методике одного штифта: отчет о клиническом случае
Новейшая технология инфильтрации композитной смолой
Новейшая технология инфильтрации композитной смолой: Icon для вестибулярных поверхностей
Удаление биопленки методом AIRFLOW. Татьяна Большеротова (Россия)
Удаление биопленки методом AIRFLOW: серия клинических случаев
Клинический анализ прямых реставраций различных групп зубов. Василий Таиров и Сергей Мелехов (Россия)
Качественный клинический анализ прямых реставраций различных групп зубов материалом Charisma Diamond
Лечение скученности зубов керамической брекет-системой ICERAM компании Orthometric. Екатерина Маркеева (Россия)
Лечение скученности зубов керамической брекет-системой ICERAM компании Orthometric
Проблемы отбеливания: тетрациклин. Ренато Миотто Пало (Бразилия)
Проблемы отбеливания: тетрациклин
Искусственный интеллект DTX Studio Clinic
Искусственный интеллект DTX Studio Clinic
Лечение пациентов с дистальной окклюзией II класса: коррекция десневой улыбки. Екатерина Волоковая (Россия)
Лечение пациентов с дистальной окклюзией II класса: коррекция десневой улыбки
Консервативный эндодонтический подход в решении клинических случаев с сомнительным прогнозом. Алексей Александров (Россия)
Консервативный эндодонтический подход в решении клинических случаев с сомнительным прогнозом
Сколько нужно компрессоров для клиники?
Эффективная работа стоматологической клиники: компрессоры в стоматологии
Подготовка зубов к адгезивным процедурам. Проф. Ракель Ланна Пассос (Бразилия)
Подготовка зубов к адгезивным процедурам
Инновационный метод удаления биопленки. Марсель Донне и соавт. (Франция)
Будущее профессиональной гигиены полости рта: инновационный метод удаления биопленки
Герметизация фиссур жевательных зубов после прорезывания. Саида Каменева (Россия)
Герметизация фиссур как эффективный метод профилактики кариеса окклюзионной поверхности жевательных зубов после прорезывания
Ретракция десны в клинической практике. Проф. Ракель Ланна Пассос (Бразилия)
Ретракция десны в клинической практике
У каждого визиографа должно быть регистрационное удостоверение
У каждого визиографа должно быть регистрационное удостоверение
Стоматологический ретрактор повышает эффективность лечения. Фарина Блаттнер (Германия)
Стоматологический ретрактор Umbrella повышает эффективность лечения
Как открыть собственную клинику в нынешних реалиях и не прогореть?
Как открыть собственную клинику в нынешних реалиях и не прогореть? Стратегия, бизнес-план, команда, оснащение
Эволюция ортодонтического лечения. Табита Аркет (Австралия)
Эволюция ортодонтического лечения
Лицензирование рентгеновского оборудования в стоматологии
Лицензирование рентгеновского оборудования в стоматологии
Профилактика воспалительных осложнений при ортодонтическом лечении с применением несъемных конструкций. Оксана Гуляева (Россия)
Профилактика воспалительных осложнений при ортодонтическом лечении с применением несъемных конструкций
DTX Studio Clinic
Программное обеспечение DTX Studio Clinic с функцией интеллектуального помощника
Протокол реставрации передних зубов при острой травме. Виктор Балаев (Россия)
Протокол реставрации передних зубов при острой травме
Обзор стоматологической установки Foshan Roson KLT-6220 S9
Обзор стоматологической установки Foshan Roson KLT-6220 S9
Оптимизация применения коротких имплантатов BICON как дистальной опоры мостовидных протезов. Степан Триандафилов (Россия)
Оптимизация применения коротких имплантатов BICON как дистальной опоры мостовидных протезов
GBT. Фэй Доналд (Великобритания)
У бактерий нет шансов против Guided Biofilm Therapy
Консервативное лечение симптоматического необратимого пульпита. Максимилиано Каса Херцманн (Чили)
Консервативное лечение симптоматического необратимого пульпита с использованием трехкальциевого силиката
Новый стерилизатор Lina RIK: энергия эффективности
Новый стерилизатор Lina RIK: энергия эффективности
Применение методики глубокой композитной инфильтрации. Анна Салат (Италия)
Применение методики глубокой композитной инфильтрации при лечении кариеса III класса
Рентгенаппарат в стоматологической клинике
Планирование размещения рентгенаппарата в стоматологической клинике: от выбора помещения до лицензирования
Неинвазивная реставрация двух центральных резцов верхней челюсти. Александр Минаков (Россия)
Неинвазивная реставрация двух центральных резцов верхней челюсти
Наружная цервикальная резорбция: выбор подхода и лечение. Джованни Марзари (Италия)
Наружная цервикальная резорбция: выбор подхода и лечение с использованием Biodentine и биокерамических силеров
Встречайте новый Piezotome CUBE
Аппарат для пьезохирургии нового поколения!
CHARISMA DIAMOND: новое измерение естественной красоты. Маркус Хольцмайер (Германия)
Новое измерение естественной красоты
Эстетическая реставрация зубов подростка. Моника Люсия Гонсалес Монтеро (Колумбия)
Эстетическая реставрация зубов подростка с помощью универсального наногибридного светоотверждаемого композита Charisma Diamond
Правильная стерилизация инструментов
Простота соблюдения требований гигиены – правильная стерилизация инструментов
Применение отбеливающих гелей Opalescence. Кларисса Йениг (Германия)
Влияние медицинского и косметического отбеливания зубов на качество жизни: применение отбеливающих гелей Opalescence Endo и Opalescence PF
Сервисный центр Группы компаний «Дентекс»
На что обратить внимание при выборе сервисного центра
Витальная терапия пульпы при наружной цервикальной резорбции. Мартин Сталла (Бельгия)
Витальная терапия пульпы при наружной цервикальной резорбции с использованием Biodentine
Зубы без пятен – просто, как 1, 2, 3! Лене Хольм (Дания)
Малоинвазивная методика микроабразивной обработки эмали
Стоматологический микроскоп A-Series
Стоматологический микроскоп A-Series: новый взгляд на лазерную стоматологию
Ретрактор для языка, губ и щек Ultradent Umbrella
Ретрактор для языка, губ и щек Ultradent Umbrella выиграл премию Cellerant Best of Class Technology Award
Стоматологические инструменты Karl Hammacher по доступным ценам
Karl Hammacher: ручные инструменты для стоматологов всех специальностей
Одонтогенный верхнечелюстной синусит. Памела Ребека Мора Фавела и соавт. (Мексика)
Одонтогенный верхнечелюстной синусит: отчет о клиническом случае нехирургического лечения
Тотальная реабилитация по цифровому протоколу. Илья Усачев (Россия)
Тотальная реабилитация по цифровому протоколу с применением имплантатов Bicon
Силеры при лечении апикального периодонтита. Александр Миловидов (Россия)
Сравнительный анализ применения биокерамического и эпоксидного силеров при лечении апикального периодонтита
Акция на стоматологические установки Swident
Акция Группы компаний «Дентекс» на стоматологические установки швейцарско-итальянского концерна Swident
Комфорт врачей и пациентов с установками Foshan Roson
Обзор стоматологических установок Foshan Roson
Концепция GBT. Клаус-Дитер Бастендорф (Германия) и Адриан Лусси (Швейцария)
Методические решения для контроля формирования биопленки: вопросы и ответы
SONO SWISS: СТЕРИЛИЗАЦИЯ И ДЕЗИНФЕКЦИЯ
Ультразвуковые ванны с режимом нагрева от SonoSwiss
Биоактивный потенциал материала BioRoot RCS. Рокко Закконе и Патрицио Галеано (Италия)
Заживление периапикальных поражений: биоактивный потенциал материала BioRoot™ RCS
Ремонт помещения под клинику
Ремонт помещения под клинику: пошаговая инструкция от Спецмедпроект
Лечение острого верхушечного периодонтита. Антонио Фернандо Херрера де Луна (Мексика)
Лечение острого верхушечного периодонтита правого центрального резца верхней челюсти с использованием материала BioRoot RCS
Пломбирование корневого канала методом одного штифта. Рэндалл Коэн (США)
Пломбирование корневого канала методом одного штифта с силером на основе трикальций силиката
Препарирования твердых тканей зуба. Ирина Луцкая (Беларусь)
Освоение и совершенствование навыков препарирования твердых тканей зуба
Пьезохирургия. Кристиан Курц (Германия)
Пьезохирургия: широкий спектр применения в хирургии полости рта
Клиническое применение аппарата Implantmed (W&H). Карл-Людвиг Акерманн (Германия)
Установка имплантатов в переднем отделе верхней челюсти в комбинации с направленной тканевой регенерацией с целью установки диоксидциркониевого моста с винтовой фиксацией
Послеоперационный уход за имплантатами. Табита Экрит (Австралия)
Послеоперационный уход за имплантатами: от неудачи к успеху.
Непрямое покрытие пульпы в одно посещение. Шенон Патель и Луис Винцер (Великобритания)
Непрямое покрытие пульпы в одно посещение с применением материала Biodentine
Увеличение ширины альвеолярного гребня. Александр Мохов (Россия)
Увеличение ширины альвеолярного гребня в клинической практике
НЕ аналоги. Татьяна Шорина (Россия)
НЕ аналоги
Противовоспалительная активность трикальций силиката. Томас Жирод и соавт. (Франция)
Противовоспалительная активность и влияние на процесс заживления тканей пульпы материалов на основе трикальций силиката при прямом покрытии: исследование in vitro
Руководство по выбору надежного оборудования
На что следует обратить внимание при покупке стоматологического оборудования (часть третья)
NTI LazyBur – инструмент новой формы
NTI LazyBur – инструмент новой формы для быстрого и удобного препарирования окклюзионных поверхностей
Новый порошок на основе эритритола. Карэн Дейвис (США)
AIR-FLOW PLUS: новый порошок на основе эритритола
GBT: направленное удаление биопленки. Надин Штрафела-Бастендорф и Клаус-Дитер Бастендорф (Германия)
Guided Biofilm Therapy: направленное удаление биопленки
Руководство по выбору надежного оборудования
На что следует обратить внимание при покупке стоматологического оборудования (часть вторая)
Первый и единственный дентин в капсуле. Люк Мартенс и Рита Каувелс (Бельгия)
Покрытие пульпы с помощью материала Biodentine
Стоматологическая клиника «Голливуд»
Интервью с Андреем Николаевым, владелцем стоматологической клиники «Голливуд»
Формирование дентинного мостика. Анжело Итри (Италия)
Формирование дентинного мостика
Руководство по выбору надежного оборудования
На что следует обратить внимание при покупке стоматологического оборудования (часть первая)
Тканевый триммер NTI. Ирина Луцкая (Беларусь)
Опыт применения тканевого триммера в амбулаторной стоматологической практике
Создание клиники. Александр Шаров (Россия)
Создание клиники: cемь раз отмерь, один раз построй
Новые технологии от EMS для лечения агрессивного пародонтита. Н. Тртич и соавт. (Хорватия)
Эффективность воздушного полирования поддесневой области при лечении агрессивного пародонтита
Новый биоактивный материал для сохранения жизнеспособности пульпы. Афина Бакополу (Греция) и Имад Эбот (Франция)
BIODENTINE: перспективный биоактивный материал для долгосрочного сохранения жизнеспособности пульпы зубов, восстановленных искусственными коронками
AIR-FLOW MASTER PIEZON. Какова выгода от инвестиций? Карен Девис (США)
Полирование поверхности зубов: «волшебные минуты», подаренные воздушно-абразивной обработкой